Ceramic, Porcelain & Composite Veneer Teeth in Thailand

Transform Your Smile with Veneers at SmileBox

If you're dreaming of a brighter, straighter, and more beautiful smile, veneers could be the perfect solution.
At SmileBox Implant & Cosmetic Center in Bangkok, Thailand, we offer both composite and ceramic veneer teeth to match your goals, lifestyle, and desired aesthetic outcome.

What are Teeth Veneers?

Veneers are thin, custom-made shells placed on the front surface of the teeth to improve their appearance. They’re designed to match the shape, color, and proportions of natural teeth, helping you achieve a balanced, bright, and confident smile.

At SmileBox Dental Clinic in Bangkok, Thailand, veneers are crafted using professional-grade ceramic or composite materials for a natural and lasting result.


Veneers are commonly used to improve:

  • Tooth color
  • Tooth shape and length
  • Symmetry of the smile
  • Overall smile esthetics

Common Cosmetic Concerns Veneers Can Solve

Stained or discolored teeth:

Some stains cannot be removed by whitening. Veneers create a bright, even color.

Ceramic veneer
Ceramic veneer
Ceramic veneer

Chipped or worn teeth:

Veneers reinforce tooth structure and restore proper shape.

Ceramic veneer
Ceramic veneer
Ceramic veneer

Gaps between teeth:

Veneers can close spaces and without orthodontic treatment.

Ceramic veneer

Mild misalignment or uneven teeth:

Veneers can give the appearance of straighter teeth without braces in many cases.

Ceramic veneer

Which Veneers Should I Get?

If you want a smooth, symmetrical smile, veneers are a simple, fast, and effective solution. Let’s compare the types of veneers available:

Composite vs Ceramic

Choosing the right type of veneer is essential for a long-lasting, beautiful result. Here’s a detailed comparison between composite and ceramic teeth veneers:

Composite veneers at SmileBox Dental Clinic in Thailand

Composite Veneers

Ceramic teeth veneers at SmileBox in Bangkok, Thailand

Ceramic Veneers

Aesthetics

More matte in appearance; may lack the shine and natural translucency of enamel.

Glossy, highly lifelike appearance mimics the depth and shine of natural teeth beautifully.

Color Stability

Low color stability. Composite material absorbs stains from coffee, tea, wine, and food. Color changes significantly over time and often requires replacement.

High color stability. A very slight color adjustment might occur within the first two weeks (which is normal and not drastic), but long-term, color remains stable with no noticeable changes.

Durability

Typically lasts 2-3 years; prone to chipping, wear, and staining.

Extremely durable; can last 10-20+ years with proper care and maintenance.

Process

Completed in a single visit; sculpted directly onto the teeth.

Requires 3 visits: Smile Design, preparation, and fitting of lab-crafted custom veneers.

Cost

Lower initial cost. However, with the need for replacements over time, the total long-term cost may exceed the price of ceramic teeth veneers in Thailand.

While ceramic or porcelain teeth veneers have a higher cost and upfront investment, they offer better value and longevity over time.

Maintenance

Requires regular touch-ups and polishing every 6-12 months.

Minimal maintenance needed; routine dental care is sufficient.

How Long Does It Take to Get Ceramic Teeth Veneers?

Your Smile Transformation Journey in Just 3 Visits

At SmileBox, we streamline the veneer experience to be efficient, comfortable, and results-driven. We complete your ceramic veneer makeover in only 4-5 days with just 3 visits.

Schedule Your Consultation for Teeth Veneers in Thailand Now


Click below to book your personalized dental veneers consultation with our experts.

Not in Thailand?


You can simply email your inquiry along with a few clear photos of your teeth to [email protected] . Our Dental Consultants will get back to you as soon as possible.

If you need immediate assistance, please call us directly at (+66)2-402-9542, or reach out to us on WhatsApp at (+66)63-352-3691. We’re here to make you smile with confidence again.

Get in touch with us

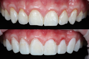
Veneer teeth before and after results at SmileBox Dental Clinic

Why SmileBox Dental Clinic in Thailand is the Best Choice for Dental Veneers

Highly Skilled Specialists

✓ Highly Skilled Cosmetic Experts

Our team includes experienced cosmetic dentists and prosthodontists who specialize in smile makeovers and minimally invasive veneer techniques. Trained in leading institutions across the United States, Italy, Germany, and Thailand, our specialists combine artistry with precision to create smiles that look stunning and natural. Several of our doctors also serve as respected professors at top dental universities in Thailand, bringing academic excellence into clinical practice.

Patient seeking veneers in Thailand

✓ Digital Smile Design & Preview Technology

We use state-of-the-art digital tools, including 3D scans, high-resolution imaging, and smile design software to create a personalized preview of your new smile. You can visualize the outcome and make adjustments before we begin.

Ceramic veneer brands available

✓ Custom, High-Quality Materials

We work with world-class dental labs and premium ceramic materials to craft veneers that are lifelike, durable, and precisely tailored to your face, skin tone, and smile line. Every detail matters — and nothing is one-size-fits-all.

Ceramic teeth veneers

✓ Minimally Invasive, Tooth-Preserving Approach

Our veneer process focuses on preserving your natural tooth structure as much as possible. With a conservative preparation technique, we ensure your teeth stay strong and healthy underneath your beautiful new smile.

Fluent English

✓ Seamless Experience for Local and International Patients

Whether you’re based in Thailand or traveling in for treatment, we provide a smooth, efficient veneer process with results achievable in as little as 4–5 days. Our team is fluent in English and experienced in caring for patients from around the world.

State-of-the-Art Facility

✓ Modern, Comfortable Clinic Environment

SmileBox is equipped with the latest dental technology and designed for your comfort. From consultation to final placement, your veneer journey will feel relaxed, professional, and personalized.

Meet Our Cosmetic Specialists

Dr. Vikram Bhatia

Dr. Vikram Bhatia

1. Certificate in SmileFast Veneer Course, UK

2. Certificate & Training in In-Direct Veneers, India

3. Certificate in Dental Veneer Course by Tanawat Academy, Thailand

4. Doctor of Dental Surgery (D.D.S), Rangsit University, Thailand

5. Certificate in Invisalign Course by Align Technology, Thailand

6. Certificate in Clear Aligners by Aligner Academy, Thailand

7. Certificate in EF Line Course by NuDent, Thailand

8. Certificate in MOOV Clear Aligners, Masterclass, Thailand

9. Certificate in AOSC Orthodontics Course, Thailand

10. Certificate in E-Line Orthodontics Course, Thailand

11. Graduated from The International

12. Baccalaureate® from NIST International School of Thailand

1. Licensed from Thai Dental Council, Thailand

2. Invisalign Platinum Provider, 2022, Thailand

3. Founder of SmileBox Dental Clinic, Thailand

4. Founder of SmileBox Oral Care Products, Thailand

5. Founder of MOOV Clear Aligners, Thailand

6. Founder of NOW I Love English School & Institute, Thailand

7. Founder of Pikaboo Baby Products, Thailand

8. Founder of Inxtinx Gym Accessories, Thailand

  • English
  • Thai
  • Hindi
Dr. Prakasit Phermsangngarm

Dr. Prakasit Phermsangngarm

1. Doctor of Dental Surgery, Rangsit University

2. 2023 International Advanced Orthodontic Mini-residency, NTU

1. Certification in Veneer BootCamp

2. Awarded 2nd RSU innovation 2020

3. 3rd place Master of the month, Dentisterie Cosmétique, December, 2023 February, 2024

4. 3rd award RSU International Research Conference 2022 on Science and Technology “Quality Assessment of Newly Modified Patient Education Diagram for Self-instruction on oral Execise “

  • English
  • Thai
Dr. Nattaporn Verayangkura

Dr. Nattaporn Verayangkura

1. Doctor of Dental Surgery (D.D.S), Rangsit University, Thailand

2. MSc in esthetics and Implant, Chulalongkorn university, Bangkok, Thailand (studying)

1. Certification in Veneer BootCamp

2. Awarded 2nd RSU innovation 2020

3. 3rd place Master of the month, Dentisterie Cosmétique, December, 2023 February, 2024

4. 3rd award RSU International Research Conference 2022 on Science and Technology “Quality Assessment of Newly Modified Patient Education Diagram for Self-instruction on oral Execise “

  • English
  • Thai

Cost of Veneers in Thailand

After your consultation or virtual assessment with SmileBox Dental Clinic, we’ll provide a clear treatment plan and exact cost breakdown. The price of teeth veneers in Thailand is typically dependent on the following factors:

  • Number of veneers
  • Material type (composite vs ceramic)
  • Smile design complexity

Generally, composite veneers in Thailand have a lower upfront cost but a shorter lifespan. Meanwhile, ceramic and porcelain veneers cost have a higher initial investment with more stable long-term results.

Veneers FAQs

It depends on your smile and goals. Some patients opt for 6–8 veneers to enhance specific teeth, while others choose 10–20 for a full smile makeover. We’ll evaluate your smile and help you decide what works best for a natural, balanced look.

Yes, many patients only get upper veneers since those are more visible when you smile. However, we’ll check your smile to ensure the result looks natural.

Absolutely. High-quality ceramic veneers are designed to mimic the color, texture, and translucency of natural teeth. At SmileBox, we personalize each veneer to match your facial features and smile.

With proper care, ceramic veneers can last 10–15 years or more. Regular dental check-ups and good oral hygiene will help maximize their lifespan.

Most patients report little to no discomfort. We use a local anesthetic during the preparation process to ensure you're comfortable throughout.

To place veneers, a thin layer of enamel is gently removed, but the procedure is conservative and preserves most of your natural tooth structure. It's a safe and well-established cosmetic treatment.

At SmileBox Dental Clinic, we can complete the entire veneer process in as little as 4–5 days, depending on your case and schedule. However, we recommend allowing at least 7 days to ensure enough time for design, try-ins, adjustments, and final placement with no rush. Our team will help plan everything to fit your travel timeline smoothly.

Yes, veneers can close small gaps, improve alignment, and create the appearance of straighter teeth, often without braces.

Generally, no, but avoid biting hard objects (like ice or pens) and limit highly pigmented foods if you have composite veneers. With ceramic teeth veneers, staining is less of a concern.

Brush and floss daily, avoid using your teeth as tools, and visit us regularly for check-ups and cleanings. Veneers don’t require special care — just good oral hygiene.

Yes. If your current veneers are worn, stained, or outdated, we can replace them with new ones that suit your current needs and preferences.

Composite veneers are made from resin and applied directly to the teeth in one visit to our Thailand clinic. Ceramic teeth veneers are crafted in a lab and bonded later. Ceramic is more durable, stain-resistant, and has a lifelike appearance.

Veneers don’t respond to whitening products. If you're considering whitening, it's best to do it before the veneer procedure so we can match your veneers to your brighter smile.

Ready to Begin Your Smile Makeover?

Take the first step toward a confident, beautiful smile today.

Schedule Your Teeth Veneer Consultation Now


Click below to book your personalized dental implant consultation with our experts

Not in Thailand?


You can simply email your inquiry, along with a few clear photos of your teeth, to [email protected] , and our Dental Consultants will get back to you as soon as possible.

If you need immediate assistance, please call us directly at (+66)2-402-9542, or reach out to us on WhatsApp at (+66)63-352-3691. We’re here to make you smile with confidence again.

Phone with selfie online consult

Our Branches

Not in Thailand?

We Have Got You Covered With Our Virtual Consultations

Our Virtual Consultation Appointments Allow You to Speak With One of Our Doctors or Dental Professionals via Google Meet From the Comfort of Your Home.

What’s happening at SmileBox?