What is Invisalign?

Invisalign aligners are a series of custom-made, clear orthodontic braces designed to straighten teeth through calculated, controlled movements. The system consists of two main components. The first is attachments, small, tooth-colored pieces placed on your teeth. These attachments act like “steering wheels” to help guide and control the movement of your teeth throughout the treatment. The second component is sets of clear trays, a series of removable, transparent aligners that fit over your teeth. These trays are changed weekly by you at home, gradually shifting your teeth into the desired position.

Invisalign aligners are removable, offering the added benefit of being able to eat, drink, brush, and floss with ease. They are much less noticeable than traditional metal braces, providing a discreet and comfortable way to straighten your teeth.

Over 1,000 Invisalign smiles transformed by Platinum Elite doctors at SmileBox Dental Clinic

Over 1,000 Smiles Transformed—and Counting

At SmileBox, your Invisalign treatment is handled by Platinum Elite Invisalign Providers—a recognition given to experienced doctors who have successfully treated over 1,000 Invisalign patients. Our doctors also educate other dentists through workshops and clinical training, sharing their knowledge and expertise. With a combined following of over 900,000 on TikTok, our doctors are known for making dental education engaging and accessible, while consistently showcasing real patient results. When you choose us, you’re in the hands of a trusted, experienced team that’s deeply passionate about transforming smiles.

Common Problems

6 Types of common tooth misalignment that Invisalign® can resolve

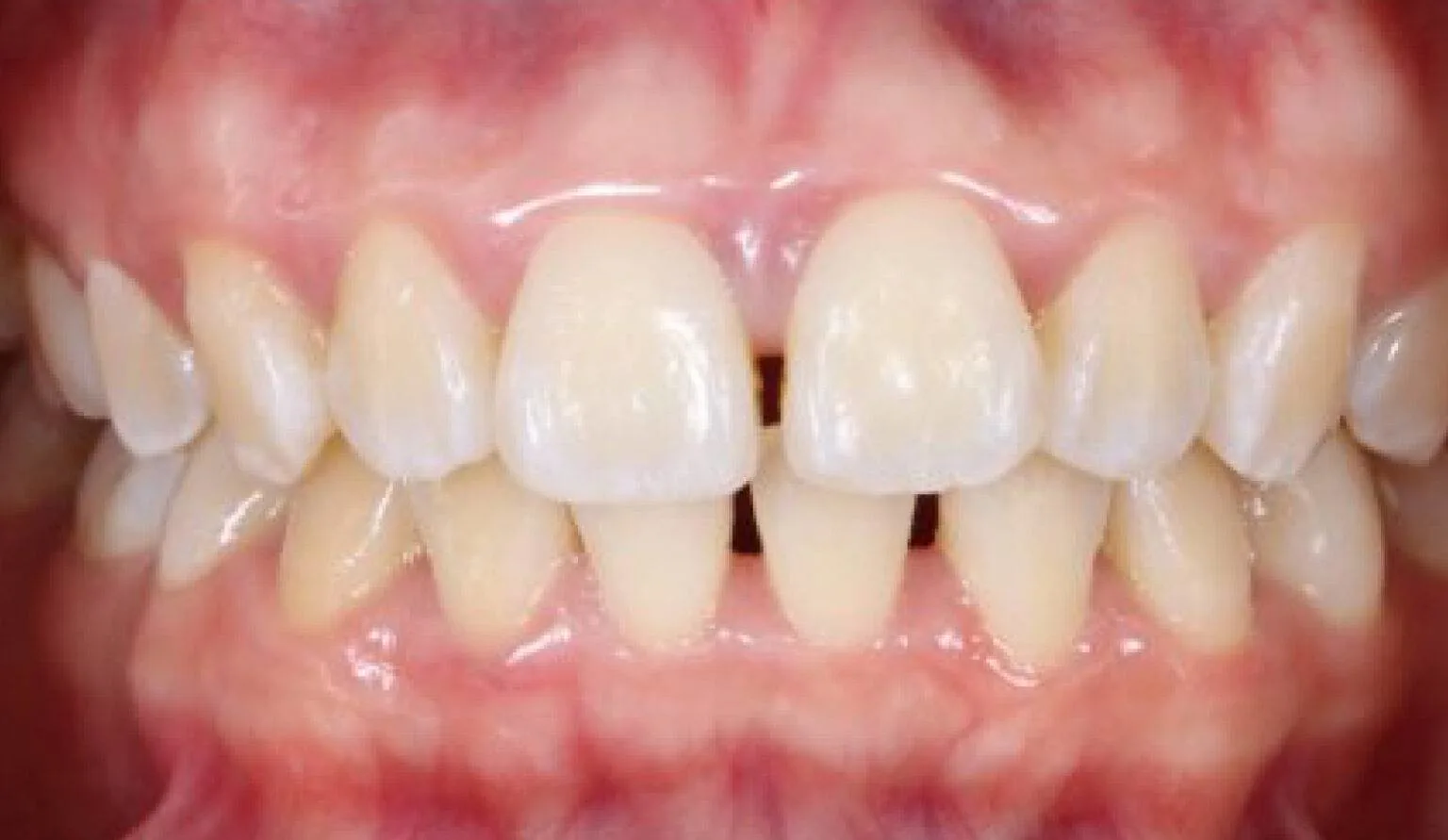
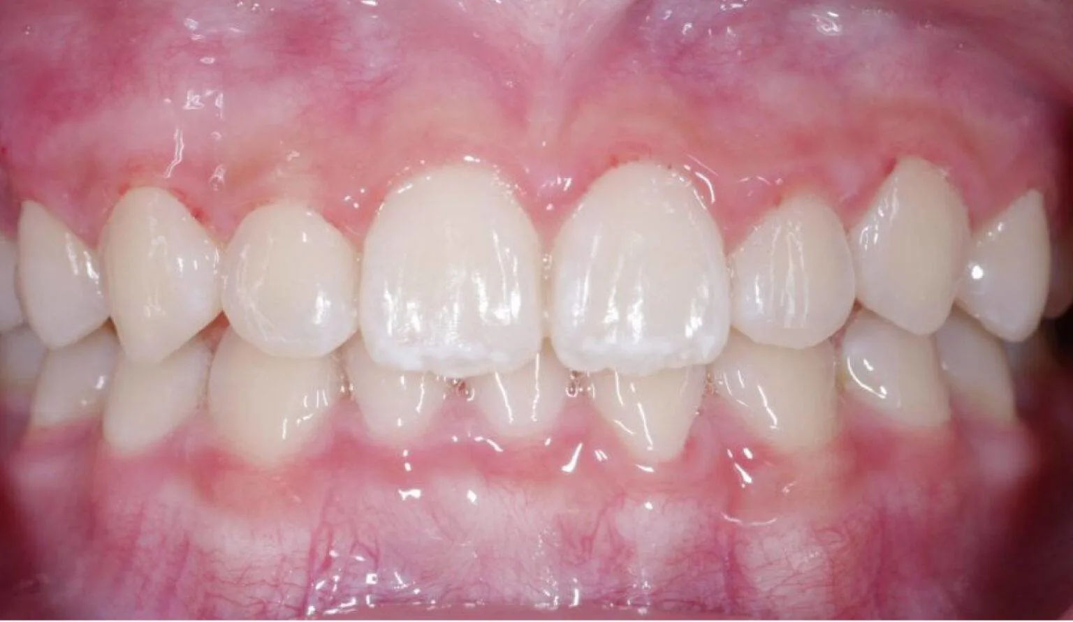
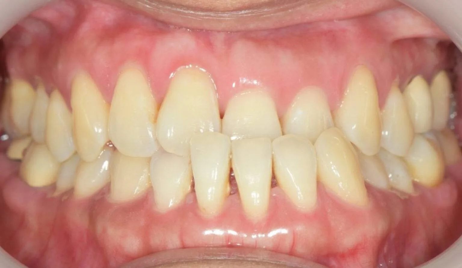
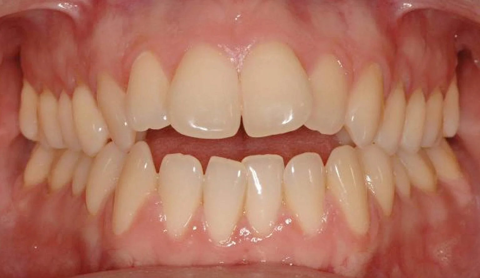
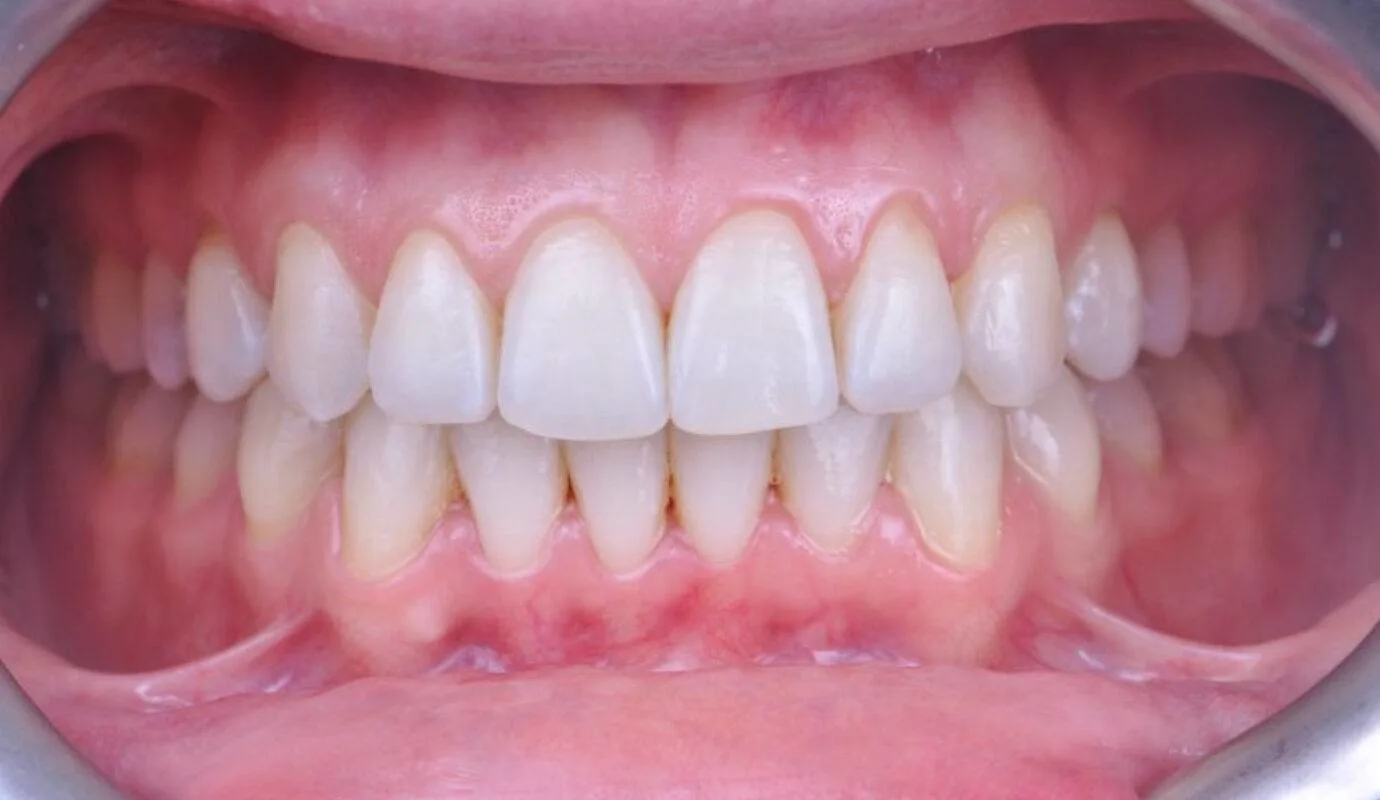
Overcrowding is a common teeth misalignment which occurs due to lack of space in the oral cavity for the teeth. This makes the teeth grow to be crooked and/or overlap with each other. This creates an overcrowded atmosphere in the mouth and can lead to poor oral hygiene due to the inability to clean the teeth efficiently.

Fun Dental Fact: Crowding doesn’t happen because our teeth are too big for our jaws, it’s because our jaws are too small for our teeth.

Before overcrowding treatment at SmileBox Clinic After overcrowding treatment at SmileBox Dental Clinic

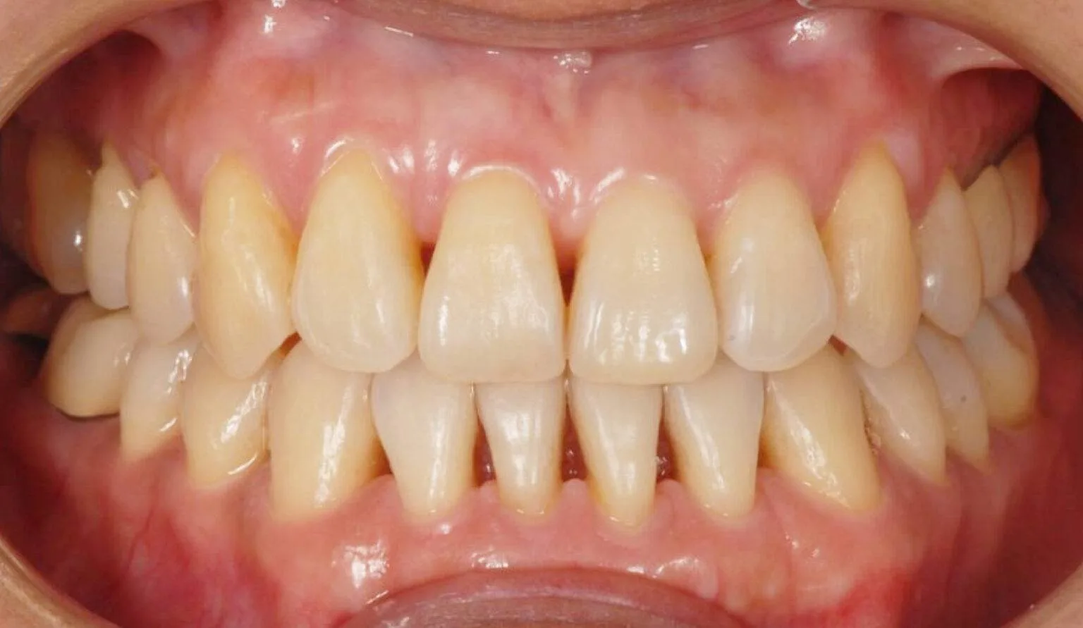
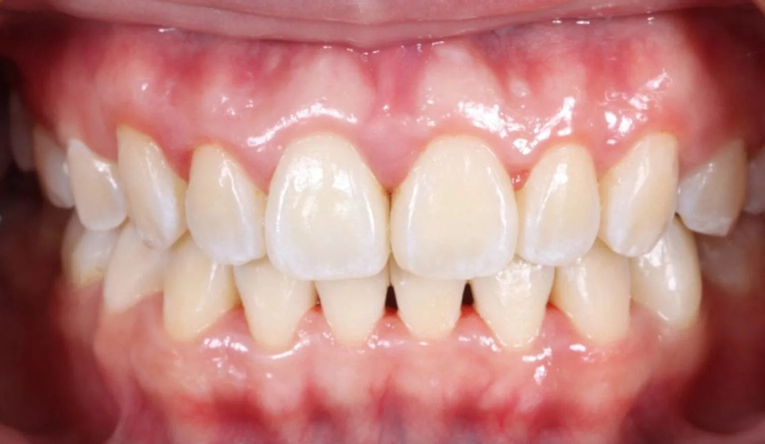
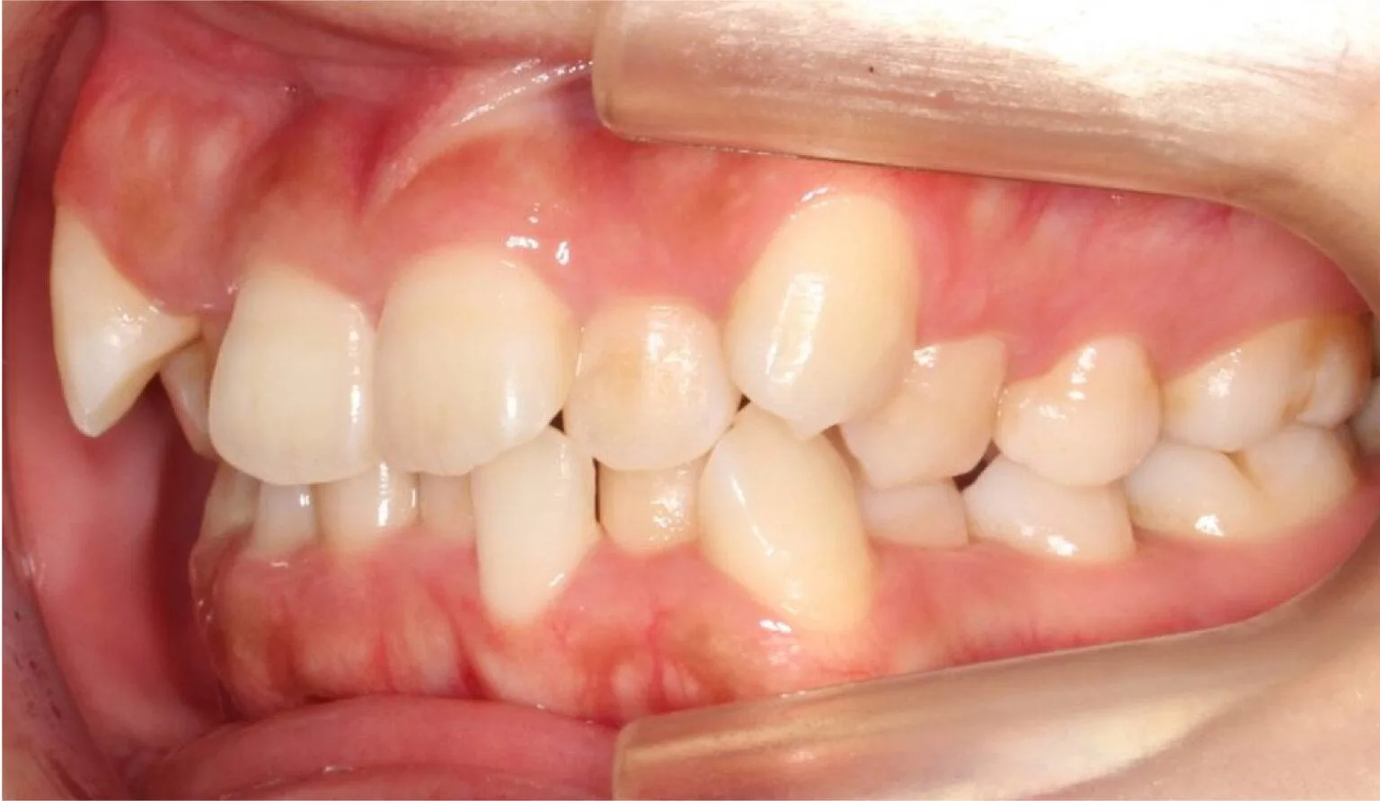
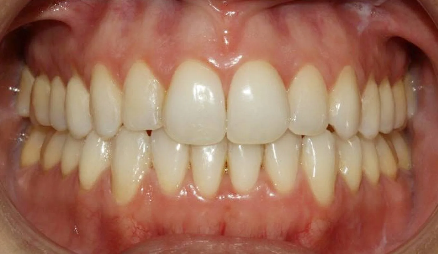
This is where the upper teeth horizontally protrude past the bottom teeth, also called an ‘Overbite’. A common dental complaint we hear that relates to protrusion is ‘my front teeth are sticking out’.

The protrusion of teeth can cause speech problems and make it difficult to consume food, this is due to the fact it can prevent correct biting and chewing.

Protrusion is a dental condition that is usually caused by skeletal issues with the lower jaw, mainly in those who have a growth deficiency. Overbites can cause irreparable soft tissue damage and also contribute to early tooth loss from excessive wear of the teeth. Besides overjets having functional side effects, they can also affect the aesthetics of the smile. Overall, it can look unpleasant to the eye, this can affect a person’s psychological and emotional state.

Protruded teeth commonly come in conjunction with patients with narrow arches, habits of tongue thrusting, swallowing and breathing improperly, phonetic problems – such as enunciating certain words and sounds like F and V, and allergies.

If we catch these issues early enough (as early as the age of 6), SmileBox can assist in correcting them using orthodontic treatment such as EF, muscle and jaw physiotherapy, and breathing exercises.

Before overbite treatment showing upper teeth protrusion at SmileBox Dental Clinic After overbite treatment showing corrected bite and balanced smile at SmileBox Clinic

This is where there is spacing (gaps) present between the teeth. These spaces usually appear between the two upper or lower front teeth – this is known as a Diastema. A diastema usually happens due to reasons such as:

  • A mismatch of the size of the jawbone and the teeth.
  • A high labial frenum attachment -if you have a high labial frenum attachment then you could be suitable for a frenectomy and then orthodontics afterward to resolve this.
  • Missing or undersized teeth – when some teeth are missing or smaller than others this can cause a diastema to develop. This is common when the upper lateral incisors are miss??
  • Thumb sucking as a child is also a common reason for spacing in between teeth and diastema, this is due to the teeth pulling forward from the unnatural force.

A diastema isn’t seen as a ‘dental problem’ they are usually harmless and need no correction. Some people see a diastema as a characteristic that adds personality to their smile, like Madonna for example.

However, with dental spacing, we usually hear complaints of food becoming stuck in between the teeth, or in some cases, people don’t like the aesthetics of spacing or diastema. In that case, orthodontic treatment can be done to correct this.

Before diastema treatment showing spacing between front teeth at SmileBox Clinic After diastema treatment showing closed spacing and aligned teeth at SmileBox Clinic

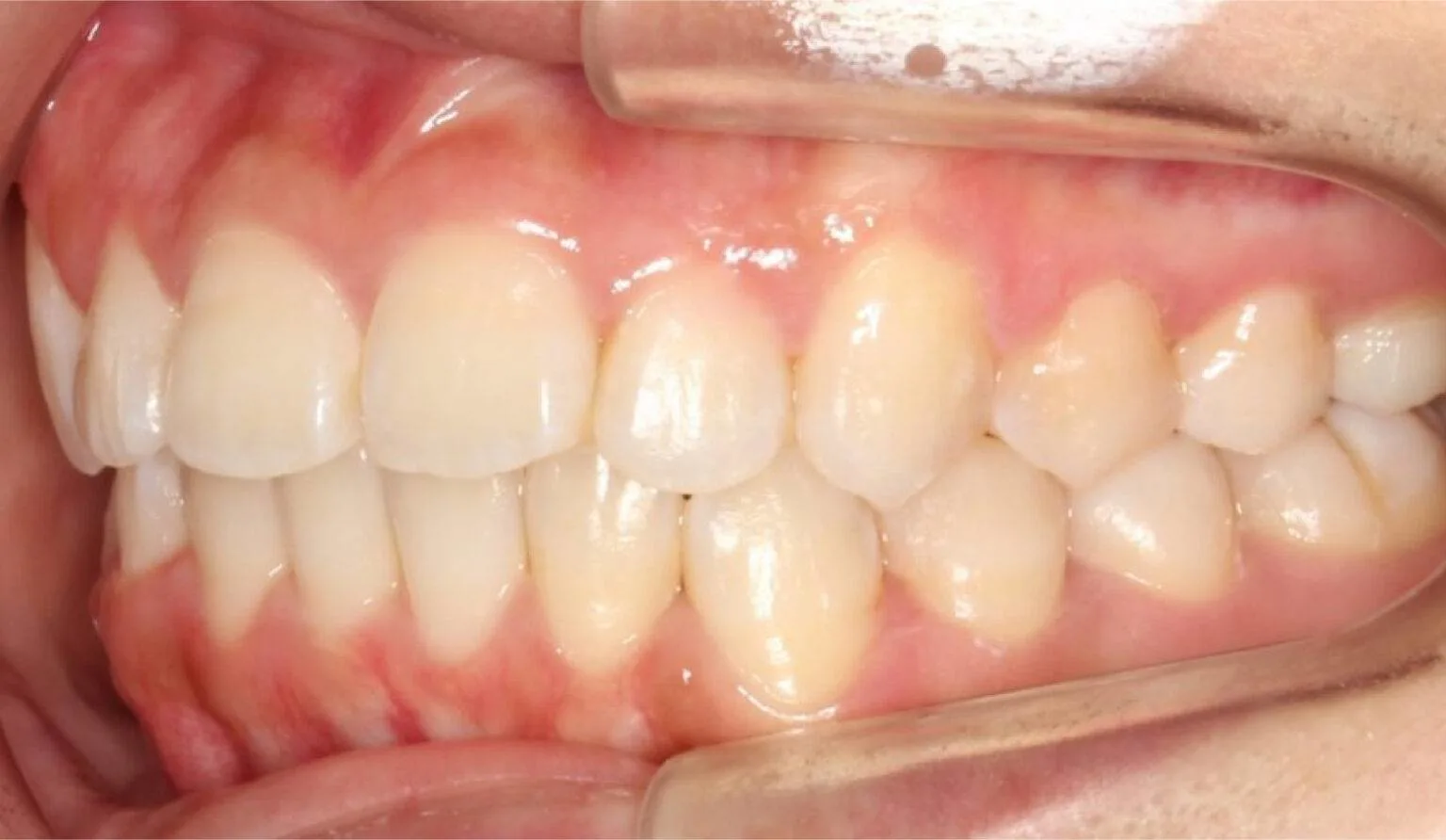
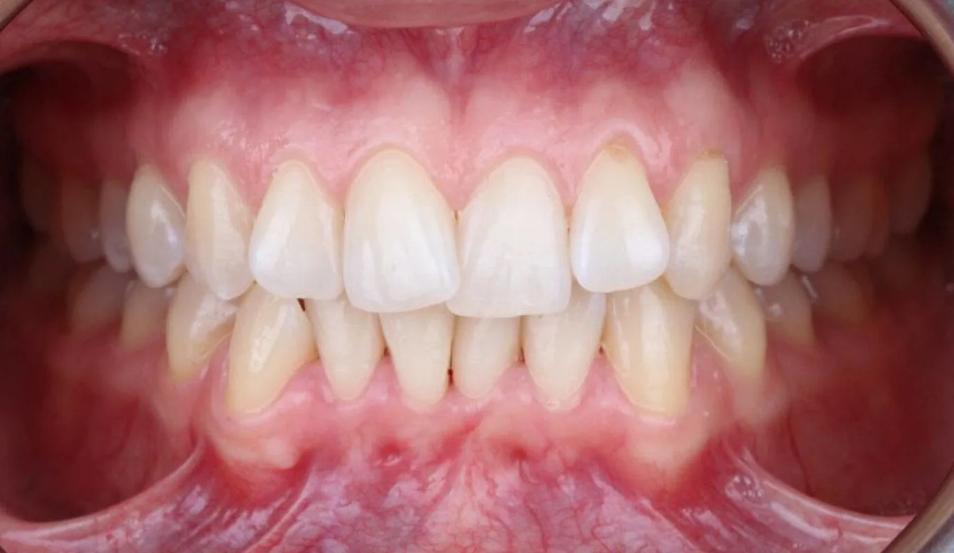
This is when the upper teeth bite down on the insides of the lower teeth, this can also be known as a negative overjet. Common dental complaints we hear that relate to a crossbite are “my chin protrudes out”, “my front teeth bite on each other” or “I can’t bite on my back teeth properly”.

A crossbite can happen on either side of the jaw and it affects both the front and back teeth. Crossbites usually occur due to a dental or skeletal problem, or both. These can be caused by habits, bone structure, airway issues, or genetics. Untreated crossbites can affect more than just the teeth, they can cause issues in the jaw. It makes the jaw muscles work at an uneven rate, which causes temporomandibular joint disorder, it can cause headaches and pain in the jaw, neck, or shoulders.

Before crossbite treatment showing misaligned bite at SmileBox Dental Clinic After crossbite treatment showing corrected bite alignment at SmileBox Dental Clinic

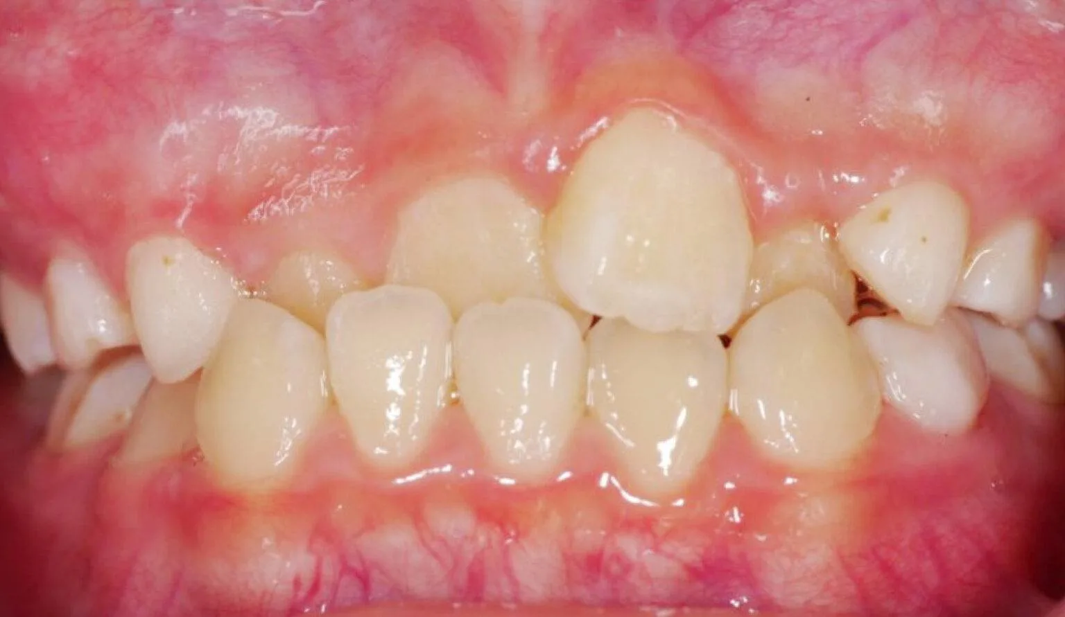
A dental midline shift is a condition where the centerline of the upper and lower teeth is not aligned properly with the center of the face. In other words, the midline of the upper teeth is not directly above the midline of the lower teeth. This can result in an asymmetrical appearance of the teeth and the face.

A dental midline shift can be caused by a variety of factors, including tooth loss, genetics, facial trauma, or improper dental treatment. Depending on the severity of the condition, treatment options may include orthodontic treatment, dental restoration, or even jaw surgery.

Before midline shift treatment showing misaligned dental midline at SmileBox Clinic After midline shift treatment showing corrected dental alignment at SmileBox Clinic

An open bite is a type of malocclusion (misalignment of teeth) where there is a gap or space between the upper and lower front teeth when the back teeth are closed together. This means that the front teeth do not make contact with each other when the mouth is closed, which can cause difficulty in biting and chewing food, speech problems, and jaw pain. Open bites can be caused by a variety of factors such as thumb sucking, tongue thrusting, genetic factors, or abnormal jaw growth.

Before open bite treatment showing misaligned front teeth at SmileBox Dental Clinic After open bite treatment showing improved alignment and bite at SmileBox Dental Clinic

Ready to achieve the smile you’ve always wanted?

Select your category now to learn more about Invisalign at SmileBox Dental Clinic and take the first step towards a confident, beautiful smile.

Ready to achieve the smile you’ve always wanted?

Select your category now to learn more about Invisalign at SmileBox Dental Clinic and take the first step towards a confident, beautiful smile.

Children (Ages 7-11)

Invisalign First and the Invisalign Palatal Expander guide jaw development and create space for incoming teeth, helping correct skeletal and dental concerns early in a child’s growth phase.

Teenagers (Ages 12-17)

Invisalign for teens includes compliance indicators and comprehensive treatment options to address both dental alignment and mild skeletal issues—supporting growing jaws and confident smiles.

Patient Testimonials


Before & After Invisalign® Gallery

How long does it take to complete your Invisalign?

Understanding Phase 1 & Phase 2 Orthodontic Treatment

Children aged 4–10 are in mixed dentition (a mix of baby and permanent teeth). Treatments at this stage are called Phase 1, focusing mainly on skeletal development with secondary attention to teeth alignment.

Once all permanent teeth have erupted (around age 11–13), Phase 2 treatment begins, focusing fully on teeth alignment.

Skipping Phase 1 may result in longer, more invasive treatment in Phase 2 with less ideal results.

Schedule Your Invisalign Consultation Now


Click below to book your personalized dental invisalign consultation with our experts

Not in Thailand?


You can simply email your inquiry along with a few clear photos of your teeth to [email protected] . Our Dental Consultants will get back to you as soon as possible.

If you need immediate assistance, please call us directly at (+66)2-402-9542, or reach out to us on Whatsapp at (+66)63-352-3691. We’re here to make you smile again.

Phone with selfie online consult

Why SmileBox Implant and Cosmetic Center is the best choice for your Invisalign?

Highly Skilled Specialists

✓ Recognized Excellence in Invisalign Care

At SmileBox Dental Clinic, we’re proud to be recognized as a leader in Invisalign treatment for three consecutive years. Our founders, Dr. Vikram and Dr. Vishesh - have been awarded the Invisalign Platinum Provider status in 2022 and 2023, and elevated to Invisalign Platinum Elite in 2024. This recognition is given to dental clinics that treat a large number of Invisalign cases each year, showing experience across a wide range of smile needs.

This places SmileBox in the top 1% of Invisalign doctors in Thailand, a distinction that reflects our commitment to clinical excellence, patient satisfaction, and continuous innovation in clear aligner therapy.

Full Digital Implant System

✓ Thailand’s Top TikTok Dentists – Where Smiles Go Viral!

Dr. Vikram and Dr. Vishesh are not only skilled clinicians but also passionate dental educators. Together, they’ve built a following of over 900,000 TikTok followers, making them Thailand’s most-followed dentists on the platform. Their engaging educational content helps demystify dental care and inspire patients across the country to take better care of their smiles.

Universal Implant Brands Available

✓ Expertise in Practice and Education

Beyond social media, both doctors are deeply involved in advancing the profession by teaching Clear Aligner Therapy to dentists across Thailand. Through lectures, workshops, and hands-on training programs, they empower fellow clinicians with the knowledge and confidence to deliver high-quality Invisalign treatment to their own patients.

Patient Centered Care

✓ Cutting-Edge Technology for Precise, Predictable Results

At SmileBox, we combine advanced digital tools to deliver the most accurate Invisalign® treatment possible. Our 5D iTero Digital Scan captures a high-resolution, real-time image of your teeth—without messy impressions—while our 3D CBCT Integration provides detailed insights into your bone structure and root positioning. Together, these technologies allow us to plan every tooth movement with exceptional precision. You’ll also receive a before-and-after simulation of your smile, so you can see your future results before treatment even begins.

Fluent English

✓ Seamless Experience for Local and International Patients

Whether you're living in Bangkok or staying here short-term, our clinic is fully equipped to support your Invisalign® treatment with ease and efficiency. We understand the needs of international residents and frequent travelers, and our English-speaking team is experienced in providing clear communication and flexible scheduling to fit your lifestyle.

State-of-the-Art Facility

✓ Modern, Comfortable Clinic Environment

SmileBox is equipped with the latest dental technology and designed for your comfort. From consultation to final placement, your veneer journey will feel relaxed, professional, and personalized.

Invisalign Packages at SmileBox

Meet Our Kids Experts

Dr. Vikram Bhatia

Dr. Vikram Bhatia

1. Certificate in SmileFast Veneer Course, UK

2. Certificate & Training in In-Direct Veneers, India

3. Certificate in Dental Veneer Course by Tanawat Academy, Thailand

4. Doctor of Dental Surgery (D.D.S), Rangsit University, Thailand

5. Certificate in Invisalign Course by Align Technology, Thailand

6. Certificate in Clear Aligners by Aligner Academy, Thailand

7. Certificate in EF Line Course by NuDent, Thailand

8. Certificate in MOOV Clear Aligners, Masterclass, Thailand

9. Certificate in AOSC Orthodontics Course, Thailand

10. Certificate in E-Line Orthodontics Course, Thailand

11. Graduated from The International

12. Baccalaureate® from NIST International School of Thailand

1. Licensed from Thai Dental Council, Thailand

2. Invisalign Platinum Provider, 2022, Thailand

3. Founder of SmileBox Dental Clinic, Thailand

4. Founder of SmileBox Oral Care Products, Thailand

5. Founder of MOOV Clear Aligners, Thailand

6. Founder of NOW I Love English School & Institute, Thailand

7. Founder of Pikaboo Baby Products, Thailand

8. Founder of Inxtinx Gym Accessories, Thailand

  • English
  • Thai
  • Hindi
Dr. Vishesh Bhatia

Dr. Vishesh Bhatia

1. Doctor of Dental Surgery (D.D.S), Rangsit University, Thailand

2. Certificate in Invisalign Course by Align Technology, Thailand

3. Certificate in Clear Aligners by Aligner Academy, Thailand

4. Certificate in MOOV Clear Aligners Masterclass, Thailand

5. Certificate in AOSC Orthodontics Course, Thailand

6. Certificate in E-Line Orthodontics Course, Thailand

7. Graduated from The International Baccalaureate® from NIST International School of Thailand

1. Licensed from Thai Dental Council, Thailand

2. Invisalign Platinum Provider, 2022, Thailand

3. Founder of SmileBox Dental Clinic, Thailand

4. Founder of SmileBox Oral Care Products, Thailand

5. Founder of MOOV Clear Aligners, Thailand

6. Member of Thai Dental Association

  • English
  • Thai
  • Hindi

Invisalign FAQs

Virtually invisible, lifestyle friendly

  • Continue to eat the foods you enjoy, no special diet required.
  • Removable for special occasions.
  • Continue your oral health routine to maintain healthy teeth and gums.
  • Most People won’t even notice you are wearing them.
  • Lifestyle-friendly for a busy work, travel or school schedule.
  • Potentially fewer doctor visits than some types of braces.

The final cost of your Invisalign treatment will depend on various factors, including:

The intricacy of your specific case.

The duration of your treatment.

Please keep in mind that each individual’s treatment plan is unique, and our Orthodontist will work closely with you to determine the most suitable plan based on your needs and preferences.

You can see a Smile Transformation in less than 6 months.

The overall length of treatment depends on the complexity of your case.

If you have veneers or crowns, the compatibility of Invisalign® clear aligners will vary. It’s essential to have a discussion with our Orthodontist regarding your dental history, including any veneers or crowns you have, to assess your specific requirements.

You have the flexibility to remove your Invisalign® aligners whenever necessary. This includes when you eat, drink, brush, or floss.

Additionally, you can take them off for special occasions, such as weddings, job interviews, or activities like playing your favourite sport or musical instrument.

It’s important to keep in mind, though, that to achieve optimal results, it’s recommended to wear your aligners for 20 to 22 hours each day.

You’re in luck! Invisalign® clear aligners come with no dietary restrictions whatsoever. Since they are removable, you can enjoy all your favourite foods without any worries. This is a significant advantage over traditional braces, which often come with a list of foods to avoid due to the risk of damage or getting stuck in the brackets and wires.

Invisalign® Treatment achieves tooth movement through the application of gentle and continuous force. It’s worth noting that during the initial days of wearing a new set of aligners, some individuals may experience temporary discomfort. This discomfort is often described as “pressure,” and it’s completely normal. In fact, it’s an encouraging sign that your Invisalign® clear aligners are actively working to enhance your smile.

If you have any concerns or if the discomfort persists, we strongly recommend consulting your Invisalign® Doctor for guidance and assistance. Your comfort and progress are our top priorities.

Ready to Begin Your Smile Makeover?

Take the first step toward a confident, beautiful smile today.

Schedule Your Invisalign Consultation Now


Click below to book your personalized dental invisalign consultation with our experts

Not in Thailand?


You can simply email your inquiry along with a few clear photos of your teeth to [email protected] . Our Dental Consultants will get back to you as soon as possible.

If you need immediate assistance, please call us directly at (+66)2-402-9542, or reach out to us on Whatsapp at (+66)63-352-3691. We’re here to make you smile again.

Phone with selfie online consult

Our Branches

Not in Thailand?

We Have Got You Covered With Our Virtual Consultations

Our Virtual Consultation Appointments Allow You to Speak With One of Our Doctors or Dental Professionals via Google Meet From the Comfort of Your Home.

What’s happening at SmileBox?