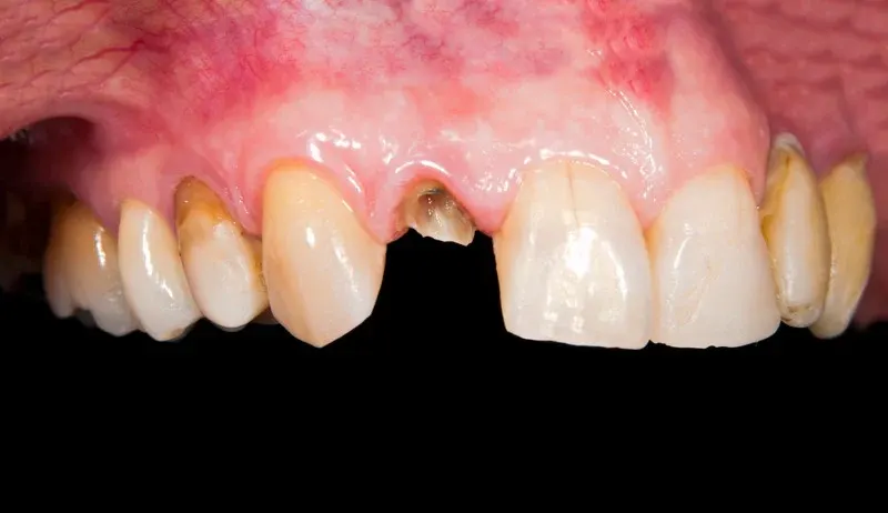
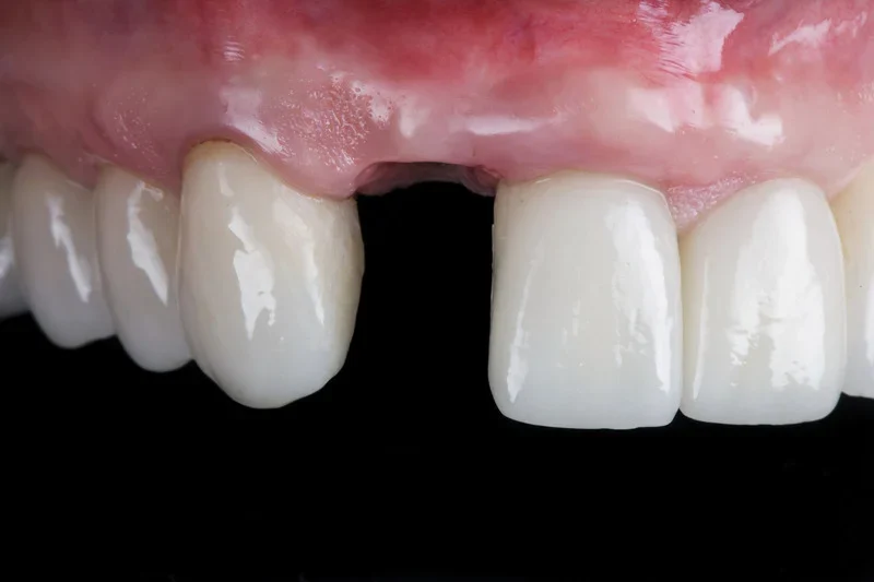
Why Choose Dental Implants to Replace a Missing Tooth?

Dental implants are designed to look, feel, and function like natural teeth. They help restore your smile and make everyday activities like eating and speaking easier. Beyond aesthetics, implants also support your overall oral health by preventing bone loss, maintaining the structure of your face, and protecting nearby teeth. Whether you’re missing a single tooth or multiple teeth, dental implants can provide a comfortable, reliable, and natural-looking solution for a healthy, confident smile.

Dental Implant Systems At SmileBox Implant & Cosmetic Center

World-Renowned Dental Implant Systems for Long-Lasting Results

There are many implant brands available, each with varying levels of quality, technology, and long- term success. The cost of an implant system can differ significantly based on its design, research, and manufacturing process.

At SmileBox Implant & Cosmetic Center, we use only world-renowned implant systems from Switzerland, Sweden, and the USA—brands that are backed by decades of scientific research, innovation, and proven clinical success. These brands include Straumann, Neodent, Neobiotech, Osstem, Zimmer and more!

The choice of implant system is based on several key factors, including:

  • Your Individual Needs
  • Doctor’s Recommendation – based on the position and number of implants, bone condition, and any medical considerations.

By choosing trusted, globally recognized implant systems, we ensure higher success rates, better healing, and long-lasting results for our patients.

195

Testimonials


Before & After Gallery

How long does it take to finish my implants?

At SmileBox, we make the dental implant journey as efficient and comfortable as possible. After the initial healing period (usually around 2–3 months), the final crown is completed in just 4–5 days—requiring a total of only 3 visits.

Schedule Your Implant Consultation Now


Click below to book your personalized dental implant consultation with our experts

Not in Thailand?


You can simply email your inquiry along with a few clear photos of your teeth to [email protected] . Our Dental Consultants will get back to you as soon as possible.

If you need immediate assistance, please call us directly at (+66)2-402-9542, or reach out to us on Whatsapp at (+66)63-352-3691. We’re here to make you smile again.

How long before I can eat and chew with my implants?

Once your new teeth are placed, you should be able to eat, talk, and smile right away without any problems. Your dentist might ask you to come back for a follow-up appointment to re-tighten the screw, to close the screw access hole or to do a final check.

If you have any questions or need more information, feel free to contact us. We’re here to help!

After-care Instructions & Maintenance for Single Implants

Alternatives to Single Tooth Dental implants

If you're considering alternatives to a dental implant for replacing a missing tooth, there are several options to choose from, depending on your needs and preferences.

Fixed Dental Bridge:
Dental Bridge
Fixed Dental Bridge:

A fixed dental bridge consists of one or more artificial teeth supported by adjacent natural teeth. It is permanently cemented into place and does not require surgery. However, if any part fails or requires repair, the dentist will have to remove the entire bridge and make a new one. Healthy neighbouring teeth also require tooth preparation and alteration to support the bridge.

Removable Dental Bridge:
Removable Dental Bridge
Removable Dental Bridge:

Removable dental bridges, also known as partial dentures, are a less permanent solution. They consist of one or more artificial teeth attached to a gum-colored base, which can be removed for cleaning. While they can be more affordable than dental implants, they may not be as stable or comfortable.

Root Canal Treatment:
Root Canal Treatment
Root Canal Treatment:

If the tooth can still be saved, a root canal is a treatment can be done This procedure removes the infected or damaged pulp inside the tooth and seals it to prevent further decay. After a root canal, the tooth is usually restored with a crown for strength and protection. This option is ideal when the tooth’s structure is intact but the pulp is compromised.

Book an Appointment Now

You can simply email your inquiry along with a few clear photos of your teeth to [email protected]. Our Dental Consultants will get back to you as soon as possible.

If you need immediate assistance, please call us directly at (+66)2-402-9542, or reach out to us on Whatsapp at (+66)63-352-3691. We’re here to make you smile again.